Have you ever thought, “I brush, I floss, I’m careful… so why do I still get cavities?” If that’s you, you’re not alone. Many people feel stuck dealing with cavities despite good oral hygiene. It can feel confusing and unfair.
Here’s the good news: this problem often has clear reasons. And once we find those reasons, we can build a plan that actually works. In this guide, we’ll cover the most common causes of cavities, how your risk is checked, and what helps prevent cavities long-term.
Can Cavities Happen Even With Good Oral Hygiene?

Yes, they can. Brushing and flossing help a lot, but cavities can still form. Things like saliva, diet, bacteria, and tooth shape can raise your risk, even when your routine is strong.
Cavities Are A Multi-Factor Problem (Not Just A Brushing Problem)
Cavities start when bacteria in your mouth make acid. That acid can wear down enamel over time. Some people get cavities despite good oral hygiene because a few hidden factors push the mouth toward decay. Dry mouth, frequent snacking, and deep grooves in teeth are common causes of cavities.
A good dentist looks at the full story, not one habit. That includes your past cavities, your diet, how your teeth are shaped, and where plaque tends to accumulate.
Why “I Brush Twice A Day” Isn’t The Whole Story
Brushing twice a day is a great habit. But it does not always reach every spot. Tight spaces between teeth, crowded teeth, and deep molar grooves can trap plaque. Old fillings and crowns can also accumulate plaque along their edges.
So you can have strong oral hygiene and still miss a few areas that keep getting cavities. When we identify those areas, we can help you clean them more effectively and lower your risk.
Schedule Your Visit with a Trusted Dental Team
Taking the next step toward better oral health starts with a simple conversation. Our experienced team is ready to answer your questions and help you plan your treatment with confidence.
Hidden Oral Hygiene Issues That Can Still Lead To Cavities

Many people who get cavities are doing their best. Often, the problem is small details that are easy to miss. These small details can add up over time.
Brushing Technique And Timing Mistakes
A few common oral hygiene issues include brushing too fast, not brushing along the gumline, or using a worn-out toothbrush. These things can leave plaque behind even if you brush every day.
Timing matters too. If you brush right after something acidic (like citrus, soda, kombucha, or a smoothie), enamel may be softer for a short time. Gentle brushing and better timing can help reduce frequent cavities causes.
Flossing Gaps And “False Confidence”
Flossing is great, but it has to be done well. If floss snaps down and comes right back up, it may not clean the sides of the teeth. Tight contacts and crowding can make flossing hard. That’s one reason cavities, despite good oral hygiene, often show up between teeth.
These oral hygiene issues can improve with coaching and the right tools. Some people do better with floss picks, interdental brushes, or a water flosser for certain areas.
High-Risk Zones Most People Miss
Most people miss the same places: the back molars, the gumline, behind the lower front teeth, and around dental work. Plaque can also collect around crowns, fillings, and attachments.
These spots can become frequent cavity causes because they are harder to clean. Once you know your “hot spots,” your plan becomes clear and focused.
Genetics And Tooth Structure: Why Some People Get Cavities More Easily

Some people are born with teeth that are more prone to decay. This is not a character flaw. It’s biology. Enamel quality and tooth shape can increase the risk of cavities.
Weaker Or More Porous Enamel
Some people have enamel that wears down faster. This variation in enamel strength can make it easier for acid to damage teeth. When enamel is weaker, small habits like snacking often or sipping drinks for hours can cause bigger problems.
If you think this sounds like you, don’t blame yourself. The goal is to support enamel and lower acid attacks so your teeth can stay strong.
Deep Grooves And Pits That Trap Bacteria
Deep grooves in molars can trap plaque where toothbrush bristles can’t reach. That can lead to repeat cavities in the same back teeth, even with careful brushing.
If you keep getting cavities in your molars despite good oral hygiene, tooth shape may be a big reason. Sealants can help block those grooves and protect the tooth surface.
Diet-Related Decay: Why “Healthy Eating” Doesn’t Always Prevent Cavities

Many people think cavities only come from candy. But diet-related decay is often linked to how often you eat or sip. Frequent exposure can keep your mouth acidic for long periods.
Frequency Matters More Than Quantity
Every snack and sip can start an “acid attack.” If you snack all day, your enamel has less time to recover. This is one of the biggest causes of frequent cavities for busy adults.
Many people with cavities, despite good oral hygiene, are surprised by this. A few changes, like eating snacks at set times and drinking water between meals, can lower risk fast.
Sneaky Sugars And Acids In “Healthy” Foods
Some “healthy” foods still raise cavity risk. Smoothies, dried fruit, granola bars, crackers, flavored yogurts, kombucha, and flavored waters can be acidic or sticky. Even natural sugars can feed bacteria.
Even with strong oral hygiene, if you eat or drink these items often, the mouth may remain acidic. Small changes help, like keeping acidic foods with meals and rinsing with water afterward.
Acid + Sugar Creates A High-Risk Environment.
Acid can soften enamel. Sugar can feed bacteria. When both are present, cavities can grow faster. This combo is a common reason for cavities despite good oral hygiene, especially if you sip drinks for long periods.
Brushing and flossing help, but the timing of your diet also matters. Lowering exposure time and supporting enamel can slow down decay.
Dry Mouth (Xerostomia): The Missing Protection Most People Don’t Notice
Saliva protects your teeth every day. It washes away food, helps neutralize acid, and supports enamel repair. When saliva is low, cavity risk can rise quickly.
What Saliva Does For Your Teeth
Saliva helps clean the mouth and balance acids. It also supports the minerals that help enamel recover. With low saliva, acids can sit on teeth longer. That can raise the risk of tooth decay, which patients often see, even with good brushing and flossing.
Dry mouth is easy to overlook. Many people don’t notice until they start seeing repeated cavities despite good oral hygiene.
Medications And Health Factors That Reduce Saliva
Many common medications can reduce saliva production, including some allergy medicines, antidepressants, and blood pressure drugs. Stress, dehydration, mouth breathing, and caffeine can also reduce saliva.
These are frequent cavity causes because they change the mouth all day, not just at mealtimes. If saliva is low, prevention often needs targeted support, not just longer brushing.
Signs You Might Have Dry Mouth
Waking up with a dry mouth, needing water at night, bad breath, sensitivity, and repeat cavities can be signs. If you notice these signs, bring them up at your visit.
Dry mouth can be a key factor in cavities despite good oral hygiene and recurring tooth decay.
Schedule Your Visit with a Trusted Dental Team
Taking the next step toward better oral health starts with a simple conversation. Our experienced team is ready to answer your questions and help you plan your treatment with confidence.
Oral Microbiome: When Cavity-Causing Bacteria Thrive Despite Good Habits

Your mouth has bacteria, and everyone has a different mix. Some mixes create more acid after you eat. That can raise cavity risk even with strong habits.
Some Mouths Harbor More Acid-Producing Bacteria
Some people carry higher levels of cavity-causing bacteria. These bacteria can produce acid quickly. That can lead to cavities despite good oral hygiene, especially when saliva is low or when enamel strength varies.
This is why doing “everything right” can still lead to new cavities. Your bacteria balance can change how hard your teeth have to fight.
Why The Same Diet Affects People Differently
Two people can eat the same foods and have different results. Saliva, bacteria, variations in enamel strength, and tooth shape can affect how quickly decay forms.
If you feel like frequent cavity causes don’t apply to you, personal risk may be the missing piece. A customised plan can help.
Physical Factors That Increase Decay Risk (Even With Great Hygiene)

Physical wear can create tiny spaces where bacteria can hide. Gum changes can expose the tooth’s weaker areas. These factors can raise risk even when your routine is strong.
Grinding (Bruxism) And Micro-Cracks
Grinding can wear down teeth and create tiny cracks. Plaque can sit in those cracks and be hard to clean. Over time, decay can start in these weak spots, even with excellent oral hygiene.
If you wake up with a sore jaw, headaches, or tooth sensitivity, tell your dentist. Protecting teeth from grinding can help prevent cavities.
Gum Recession Exposes Vulnerable Root Surfaces
When gums pull back, the root surface can become exposed. Roots are easier to decay than enamel. With dry mouth or frequent consumption of acidic drinks, cavities can form more quickly on the roots.
This is a common reason for tooth decay concerns in adults who brush and floss daily. Finding recession early can help protect these areas.
Schedule Your Visit with a Trusted Dental Team
Taking the next step toward better oral health starts with a simple conversation. Our experienced team is ready to answer your questions and help you plan your treatment with confidence.
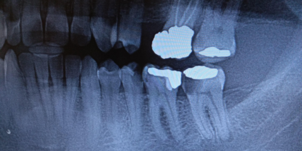
Hidden Decay: Why Cavities Can Form Where You Can’t See Or Reach

Some cavities grow in places you can’t see in the mirror. You may not feel them until they get bigger. That’s why regular checkups still matter.
Cavities Between Teeth (Even With Flossing)
Between teeth is a common place for decay. Even with good oral hygiene, tight spaces can hold plaque. Floss technique also matters, and it’s easy to miss the sides of the teeth.
These cavities are often found during dental exams and X-rays, before you feel pain. If you get cavities despite good oral hygiene, hidden decay between teeth is worth checking.
Fillings, Crowns, And Orthodontic Appliances Create “Bacteria Zones”
Edges of fillings and crowns can trap plaque. Orthodontic attachments and aligners can trap plaque, too. If you are in orthodontic treatment, your cleaning plan may need to change.
This is where teamwork helps. Your orthodontist and dental team should support your daily care to prevent plaque buildup around your appliances.
How Dentists Identify Your Personal Decay Risk (The Modern Prevention Approach)
If cavities keep coming back, the best next step is to find out why. That means checking risk factors and building a plan you can follow.
What A Decay Risk Assessment Includes
A decay risk assessment considers your cavity history, dietary habits, signs of dry mouth, tooth shape, and enamel strength. It also looks for grinding, gum recession, and the edges of fillings or crowns. If you are doing orthodontic treatment in Clifton, it also checks how cleaning access has changed. This helps a dentist identify the causes of your frequent cavities and choose the right preventive tools for you.
Why Dental Exams Matter Even With Excellent Oral Hygiene
Early cavities often do not hurt. Regular dental exams and visits help catch small problems early. Cleanings remove tartar that brushing can’t remove. We can also help fix oral hygiene issues before they lead to bigger problems. If you’ve had cavities despite good oral hygiene, routine monitoring can prevent surprises.
Cavity Prevention In Clifton: What Actually Works For High-Risk Patients

If you are cavity-prone, you need a plan that fits your risk. The best plans strengthen enamel, reduce acid damage, and protect hard-to-clean areas.
Prescription-Strength Fluoride And Professional Fluoride Treatments
Fluoride treatments help strengthen enamel and slow down mineral loss. They can help a lot for patients with dry mouth, enamel strength variation, or repeat cavities. These options are often part of cavity prevention Clifton care because they help protect teeth between meals and snacks. Your dentist can recommend how often you may need them based on your risk.
Sealants To Protect Deep Grooves
Sealants cover deep grooves in molars where plaque hides. They can help kids, teens, and adults who keep getting molar cavities. If you get cavities despite good oral hygiene in the back teeth, sealants can be a great option. By sealing plaque traps, sealants can reduce the frequency of cavities over time and support cavity-prevention goals.
Personalised Home Prevention Plan
A personalized plan can include a fluoride rinse, xylitol, hydration, and better snack timing. It can also address oral hygiene issues with tools that fit your mouth, such as interdental brushes for tight spaces or a water flosser for crowded areas. When home care and professional care work together, cavity prevention becomes more consistent and easier to maintain.
How We Help Patients Prevent Cavities At Harmony Dental Arts

At Harmony Dental Arts, we take a prevention-first approach. We want you to feel confident, not confused. Our goal is to help you stop the cycle of repeat cavities.
We Start With A Decay Risk Assessment (Not Guesswork)
We start with a decay risk assessment to find your personal frequent cavity causes. We look at dry mouth, diet timing, variation in enamel strength, bacterial risk, and oral hygiene issues. This helps patients who struggle with cavities despite good oral hygiene finally understand what’s happening. We then build a plan that fits your schedule and your goals, whether you are a busy adult or managing a family routine.
Modern Prevention Tools That Strengthen And Protect Teeth
We offer fluoride treatments and prescription options when they are appropriate for your risk level. We also recommend sealants when deep grooves are a problem. Along with these tools, we help you improve oral hygiene in a way that feels realistic, not stressful. The goal is fewer cavities and less tooth decay clifton risk over time.
Dental Exams And Early Detection For Tooth Decay In Clifton
Regular dental exams and visits help us spot early decay before it becomes a bigger problem. If we find tooth decay, we explain it clearly and walk you through options step by step. Early care often means simpler treatment and better long-term outcomes.
Full-Spectrum Dentistry To Support Health + Smile Aesthetics
We offer preventive, restorative, and smile-focused care in one place. If you need braces or aligners, we help support oral hygiene during treatment to prevent plaque buildup. We work closely with an orthodontist whom Clifton patients trust when bite and alignment matter. We want your smile to feel healthy, look natural, and stay strong.
Conclusion
If you get cavities despite good oral hygiene, you are not alone, and you are not “bad at brushing.” The cause is often frequent cavities, issues like dry mouth, bacterial balance, variations in enamel strength, diet timing, tooth shape, or hidden oral hygiene issues. Once we identify the real cause, prevention becomes clear and practical.
If you want a dentist Clifton patients rely on for prevention-focused care, call Harmony Dental Arts and schedule your visit. You can reach our Clifton office to learn more about a personalized cavity prevention plan.
FAQs About Cavities Despite Good Oral Hygiene
Can Cavities Happen Even With Good Oral Hygiene?
Yes, cavities can still happen when saliva is low, bacteria are strong, and enamel is weaker. At Harmony Dental Arts, we review your risk and build a plan to help protect your teeth.
Why Do I Get Cavities Even Though I Eat Healthy?
Healthy foods can still be acidic or sticky, and frequent snacking keeps teeth under acid stress. With us, we help adjust timing and add fluoride treatments when needed, then track changes at dental exams in Clifton.
Why Do Some People Get Cavities So Easily?
Genetics, variation in enamel strength, dry mouth, and differences in oral bacteria can raise the risk. With us, we identify your triggers and guide cavity-prevention steps that fit your day.
Why Do I Get So Many Cavities, But I Brush My Teeth?
Brushing helps, but oral hygiene issues in hidden areas, plus dry mouth, can still lead to decay. With us, we fine-tune your home routine and watch high-risk spots closely, so tooth decay is less likely to return.
