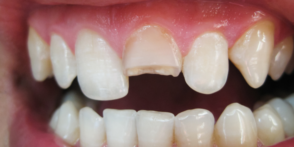
You spot a thin line on a tooth in the mirror. You run your tongue over it and feel a rough edge. Then you pause because there is no ache, no throbbing, no swelling.
That silence can fool you. A crack can be a tooth fracture without pain, while the tooth slowly weakens. One hard bite can change everything fast. This guide explains why painless cracks still matter, when a crown helps, and what Harmony Dental Arts can do for you in Clifton.
Why A Cracked Tooth Can Be Serious Even If It Doesn’t Hurt

A cracked tooth can be at risk even when it feels normal. Knowing what is going on helps you act early and protect the tooth.
Pain Isn’t Always The First Warning Sign
The tooth nerve often reacts later, so a tooth fracture without pain is common at first. Many cracks start as small enamel fractures and stay quiet until they reach deeper parts of the tooth. A cracked tooth evaluation can find early trouble before it turns into a sudden emergency.
Cracks Can Progress Quietly Over Time
Chewing every day can push a small crack deeper, especially with bite pressure damage from clenching or grinding. A crack that looks the same can still spread under the surface and lead to structural tooth damage. A timely cracked tooth evaluation can help stop that chain of events.
Types of Tooth Cracks That Often Go Unnoticed

Some cracks are easy to miss because they do not hurt right away. Here are a few common types and why they matter.
Craze Lines (Usually Cosmetic)
Craze lines are tiny surface lines in enamel and often count as minor enamel fractures. They are usually painless and often do not weaken the tooth. Many times, we watch them during routine visits unless other signs show up.
Hairline Tooth Cracks That May Still Need Protection
Hairline tooth cracks can look small but may grow deeper over time. Molars are at higher risk because they are subjected to strong chewing forces and may face bite pressure damage. In some cases, early cracked tooth treatment focuses on protecting the tooth before it breaks.
Deeper Structural Tooth Damage
When a crack reaches dentin, the tooth can bend slightly during chewing, which can lead to structural tooth damage. These cracks can spread faster and may be harder to fix with small repairs. Cracked tooth treatment often aims to strengthen the tooth so it can handle normal biting.
Bite Pressure Damage and “Cracked Tooth Syndrome”
Some cracks form from repeated stress, like clenching and grinding, a pattern called bite pressure damage. The pain may come and go, like a sharp feeling when you release a bite. A focused cracked tooth evaluation helps confirm the cause and the best next step.
Common Causes of Cracked Teeth (Even in Healthy Smiles)

Cracks can happen to anyone, even if you brush and floss well. The cause can be one hard bite or pressure that builds over time.
Hard Foods, Ice, and Unexpected Biting Forces
Popcorn kernels, hard candy, bones, and ice can cause sudden enamel fractures. You may not feel pain right away, leading to a tooth fracture without pain that seems harmless. If a rough edge appears after eating something hard, a dental check is a smart move.
Grinding and Clenching (Bruxism)
Grinding at night or clenching during the day puts extra force on teeth. Over time, this repeated stress becomes bite pressure damage and can lead to cracks. It can also cause structural tooth damage that makes the tooth weaker with each month.
Large Fillings or Older Dental Work
Large fillings can leave less natural tooth to support chewing forces. That can raise the chance of cracking and later structural tooth damage. In these cases, cracked tooth treatment may be needed to protect what is left of the tooth.
Trauma or Accidents
Sports injuries, falls, or biting a utensil can crack a tooth in seconds. It can stay quiet at first, so a tooth fracture without pain after an accident still needs attention. Early cracked tooth treatment can help prevent the crack from spreading.
Signs You May Need Treatment (Even If You’re Not in Pain)

Even without pain, your tooth may be sending clues. Use these signs to know when to call.
Visible Signs
You may see a line, a small chip, or a rough edge that points to hairline tooth cracks. A dark spot or a shadow under enamel can suggest deeper issues beyond surface enamel fractures. A clear photo can help you show your dentist what you noticed.
Bite and Chewing Clues
You might feel discomfort when chewing on one side. A sharp sting when biting down or letting go often links to cracks and bite pressure damage. These signs are common reasons a cracked tooth evaluation finds a problem even when the tooth looks fine.
Temperature Sensitivity
Cold sensitivity that comes and goes can happen with small cracks. If sensitivity slowly gets worse, it can signal growing structural tooth damage. A cracked tooth evaluation helps identify whether the tooth needs protection or simple monitoring.
Why a Crown Is Often Necessary for a Painless Cracked Tooth

A crown can protect a cracked tooth by holding it together. When the tooth is weak, a crown can reduce the risk of a bigger break.
Structural Integrity — Holding The Tooth Together
A crown covers the tooth like a helmet, which is why dental crown care is common for cracks. It reduces tooth bending during chewing and improves long-term tooth protection. This can lower the chance of worsening structural tooth damage.
Preventing Infection — Sealing Out Bacteria
Cracks can let bacteria slip into the tooth. A crown can cover and seal weak areas as part of early cracked tooth treatment. This can lower the risk of infection and reduce the chance you will need a root canal later.
Deep Crack Risk — Preventing A Split Tooth
A deep crack can spread and split the tooth, especially when structural tooth damage is already present. A split tooth often cannot be saved. A crown is often a strong option for tooth protection during cracked tooth treatment.
Avoiding Future Emergencies
A crack can go from quiet to painful very fast, even if it began as a tooth fracture without pain. Waiting can lead to a bigger break and urgent care. Early cracked tooth treatment can help you avoid that.
Does a Cracked Tooth Always Need a Crown? (When It Might Not)

Not every cracked tooth needs a crown. The right plan depends on where the crack is, how deep it goes, and how stable the tooth is.
When a Crown May NOT Be Needed
Craze lines are often cosmetic and may not need treatment. Minor surface cracks limited to enamel are often enamel fractures and may be watched. If the tooth stays strong and stable, some hairline tooth cracks can be monitored.
When Monitoring or Bonding Might Be Enough
Shallow cracks with no bite marks may not need full coverage. Bonding can fix small chips and can be a form of cracked tooth treatment for limited enamel fractures. Regular checkups help track changes over time.
When a Crown Becomes the Best Option
Cracks that reach dentin raise the risk of structural tooth damage. Cracks on molars often need support because of heavy chewing force. Teeth with large fillings or weak cusps often do best with dental crown protection.
What Happens During a Cracked Tooth Evaluation in Clifton

An evaluation helps find the crack type and the best way to protect the tooth. The visit should feel clear, calm, and focused on answers.
Exam + Bite Testing
A cracked tooth evaluation includes a close look at the tooth and simple bite tests. These tests can show pain patterns linked to cracks and bite pressure damage. The results guide whether you need a crown, bonding, or monitoring.
Digital Imaging to Detect Hidden Fractures
Digital imaging helps check tooth roots and nearby bone. Some small cracks are hard to see on any image, but imaging still supports a better cracked tooth evaluation by ruling out other problems. It also helps plan care with fewer surprises.
Personalised Treatment Planning
Planning looks at crack depth, remaining tooth structure, and bite fit. You will get options that match your needs and schedule. This approach reflects restorative dentistry care focused on comfort and lasting results.
Dental Crown Placement In Clifton — What To Expect

Knowing the steps can help you feel less nervous. Crown visits are planned to be comfortable and easy to follow.
Step-by-Step Crown Process
Dental crown placement starts with numbing for comfort and gentle shaping of the tooth. An impression is taken, often with digital tools, to support a precise fit. A temporary crown protects the tooth while your final dental crown is made.
Natural-Looking, Long-Lasting Results
Crowns are designed to match nearby teeth in color and shape. Strong materials help the crown handle daily chewing. This is a key goal of restorative dentistry in Clifton care when a cracked tooth needs support.
Aftercare and Recovery
Some mild sensitivity can happen at first. After dental crown placement, avoid very hard foods until the bite feels stable. Good brushing, flossing, and regular visits support long-term tooth protection.
What Happens If You Ignore a Cracked Tooth Without Pain?

A painless crack can still worsen with time. Ignoring it can turn a simple fix into a hard problem.
Cracks Can Spread Without Warning
A small crack can grow and cause a sudden break while chewing. Repeated force and bite pressure damage can speed up the spread. This can lead to fast-growing structural tooth damage.
Increased Risk of Nerve Damage and Root Canal
Bacteria can move through a crack and irritate the nerve. Infection can start even when it began as a tooth fracture without pain. Early cracked tooth treatment can lower the risk of needing more complex care.
Schedule Your Visit with a Trusted Dental Team
Taking the next step toward better oral health starts with a simple conversation. Our experienced team is ready to answer your questions and help you plan your treatment with confidence.
Tooth Loss and More Complex Restorative Needs
A split tooth may need extraction. Replacing a tooth can involve more visits than protecting it early, even with strong tooth protection options. Patients often prefer early help through restorative dentistry care.
How We Treat Cracked Teeth at Harmony Dental Arts (Comfortable, Personalised, and Built Around Tooth Protection)

At Harmony Dental Arts, we focus on clear answers and calm care. If you are searching for help with a cracked tooth concern, we work with you to protect your tooth and your comfort.
Our Approach Starts With A Thorough Cracked Tooth Evaluation
We begin with a careful cracked tooth evaluation and use digital imaging when needed. We look for early enamel fractures, deeper cracks, and signs of structural tooth damage. We also review bite forces to reduce ongoing bite pressure damage that can keep a crack active.
Conservative Options When Appropriate — Crowns Only When They’re Truly Needed
If the issue is small, we may recommend monitoring or bonding, including care for minor hairline tooth cracks. When the tooth is weak, a crown may be the best long-term tooth protection option. We explain dental crown choices in a simple, easy-to-understand way.
Natural-Looking Crowns and Restorations That Fit Your Lifestyle
We offer comfortable dental crown placement with realistic timing. Our dental crown crowns are made to look natural and feel right when you bite. If the nerve is involved, we plan the right steps so your tooth can be restored well through restorative dentistry care.
Full-Spectrum Care for Families, Professionals, and Emergency Needs
If a crack suddenly worsens, we can help with timely visits and clear steps for cracked tooth treatment. We also support prevention with exams, cleanings, and bite guidance for cracked tooth patients who want fewer repeat issues. If you want cosmetic updates later, we can discuss whitening, veneers, or Invisalign based on your goals.
Conclusion
A crack without pain can still weaken a tooth and spread during normal chewing. Getting answers early can protect your tooth and help you avoid urgent visits. If you think you have a crack, contact Harmony Dental Arts to schedule a cracked tooth evaluation and talk through monitoring, bonding, or a protective crown. Call us or reach out through our contact page so we can help you feel confident about the next step.
FAQ — The Most Common Questions About Cracked Teeth and Crowns
Does a cracked tooth always need a crown?
No, some enamel fractures and mild hairline tooth cracks can be watched if the tooth is stable. We check the crack and suggest the simplest plan that protects your tooth.
Do I need a crown if my tooth doesn’t hurt?
Often, yes, if the tooth is weak, since a tooth fracture without pain can still get worse. We help you understand if a crown is the safest choice based on what we find in your exam.
What are the signs that I need a crown?
Common signs include bite pain, a visible crack, weakness, or deeper structural tooth damage found by your dentist. Our team will review your results and recommend the best option to keep your tooth strong.
Can I ignore a cracked tooth if it doesn’t hurt?
No, cracks can spread quickly and turn into a sudden break. We can see you quickly and guide you on early care to help avoid bigger treatment later.


